tjenester2-top
loader

Fyll ut skjema og bestill time

Våre priser

Proteser - Tannproteser - Tannlege

TANANGER TANNLEGENE

Helprotese

Helprotese

En helprotese er en tannerstatning som benyttes når alle tennene i kjeven mangler.

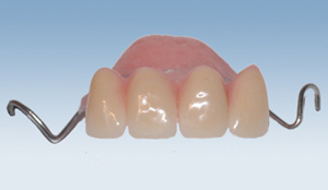
Delprotese

Delprotese

En delprotese er en avtagbar tannprotese som kan erstatte en eller flere tenner.

loader