tjenester2-top
loader

Fyll ut skjema og bestill time

Våre priser

Tannbleking

TANANGER TANNLEGENE

Ytre misfarging på tennene kan pusses og poleres bort av tannlege eller tannpleier. Dette forandrer ikke selve tannfargen, men kan i mange tilfeller gi et godt resultat.

Ønsker man lysere tenner, er det derimot nødvendig med tannbleking. Dette kan enten utføres hjemme, eller på en tannklinikk. Det benyttes da blekemiddel som trenger inn i tannen og tar bort fargestoffer og indre misfarging.

Hjemmebleking

Dersom man skal benytte seg av hjemmebleking, må man først ta en avstøpning av tennene og lage en gipsmodell. Gipsmodellen brukes til å fremstille en blekeskinne. Blekeskinnen passer perfekt over tennene, og er derfor ikke ubehagelig å ha i munnen.

Ulike typer hjemmebleking


Nattbleking

Blekemiddelet benyttes mens man sover. Det anbefales at man bleker 6 - 8 timer per natt. Antall dager varierer enten til man har oppnådd ønsket resultat, eller inntil man har brukt opp blekemiddelet utdelt av tannlegen.

Dagbleking
Blekemiddelet benyttes i løpet av dagen, normalt i mellom 30 – 60 minutter. Antall dager varierer enten til man har oppnådd ønsket resultat, eller inntil man har brukt opp blekemiddelet utdelt av tannlegen.

Fremgangsmåte ved hjemmebleking
  1. Puss tennene nøye, og rengjør eventuelt med tanntråd. Skyll munnen med fluor.
  2. Blek kun én kjeve om gangen.
  3. For de tennene som skal blekes: Plasser en liten dråpe gel i den del av skinnen som tilsvarer forsiden av tennene. Mengden gel skal anpasses størrelsen på de respektive tenner (små tenner = mindre gel, store tenner = mer gel).
  4. Sett tilbake hetten på sprøytespissen.
  5. Tørk vekk spytt fra tennene som skal blekes.
  6. Plasser skinnen over tennene, og pass på at den sitter ordentlig på plass.
  7. Tørk bort overflødig gel fra tannkjøttet.
  8. Blekeperioden kan nå starte.

Når blekeperioden er ferdig

  1. Ta blekeskinnen ut av munnen, og fjern rester av blekemiddelet fra tenner og tannkjøtt
  2. Skyll munnen med fluor i to minutter.
  3. Rengjør skinnen forsiktig i kaldt vann ved hjelp av tannbørsten. Det er viktig ikke å bruke varmt vann, da dette kan deformere/ødelegge skinnen.

Viktig å vite når man skal bleke 
Det er på forhånd vanskelig å forutsi blekeresultatet. Resultatet varierer fra person til person, men de aller fleste får hvitere tenner etter endt bleking. For å oppnå best mulig resultat, bør man følge disse rådene:
  • Det er anbefalt at en tannlege eller tannpleier har vurdert tenner og tannkjøtt før bleking igangsettes. Har man hull i tennene, bør man ikke bleke før disse er reparert.
  • Ikke bruk andre blekemidler enn de som er kjøpt fra en tannlege eller tannpleier.
  • Fyllinger og keramiske kroner påvirkes ikke av blekemiddelet, og vil følgelig ikke blekes. Det kan derfor bli nødvendig å skifte synlige fyllinger etter endt bleking.
  • Unngå i størst mulig grad produkter som kan misfarge tennene i blekeperioden: Vin, te, kaffe og tobakk. Tennene vil i denne perioden være mer mottakelige for fargestoffer. Bruk av de nevnte produkter kan derfor gjøre blekeresultatet dårligere. Det er også anbefalt å holde bruken av disse produktene til et minimum inntil 2 - 3 uker etter endt blekeperiode.

Andre viktige råd som bør følges når man bleker tennene
  • Det er nyttig å skylle munnen med fluor i blekeperioden og de første ukene etter blekingen. Dette er for å unngå eventuell ising i tennene. Spesialtannkrem mot ising kan også være til god hjelp for mange. Dersom det oppstår plagsomme smerter, bør blekingen avbrytes og tannlegen kontaktes.
  • For mye blekemiddel i skinnen kan føre til sårhet i tannkjøttet. Vent da noen dager og forsøk igjen.
  • Gravide kvinner skal ikke bleke under svangerskapet. Det er heller ikke anbefalt at ammende kvinner bleker tennene.
  • Blekemiddelet må brukes og oppbevares i henhold til fabrikantens anbefalinger.
  • Bruk ikke tobakksprodukter mens blekeskinnen er i munnen.
  • Spis ikke mat mens blekeskinnen er i munnen.


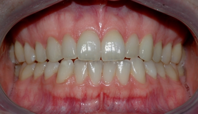
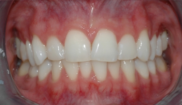
  • bleking_pasient_1_før
    bleking_pasient_1_før

    Bildet viser tenner før bleking. Tennene har ingen synlige fyllinger og kan derfor egne seg godt for bleking.

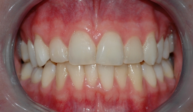
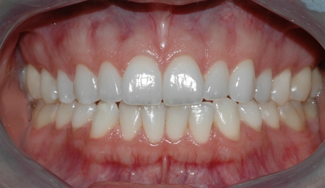
  • bleking_pasient_1_etter
    bleking_pasient_1_etter

    Bildet viser resultatet etter endt bleking. Det er her benyttet hjemmebleking med skinne brukt om natten.

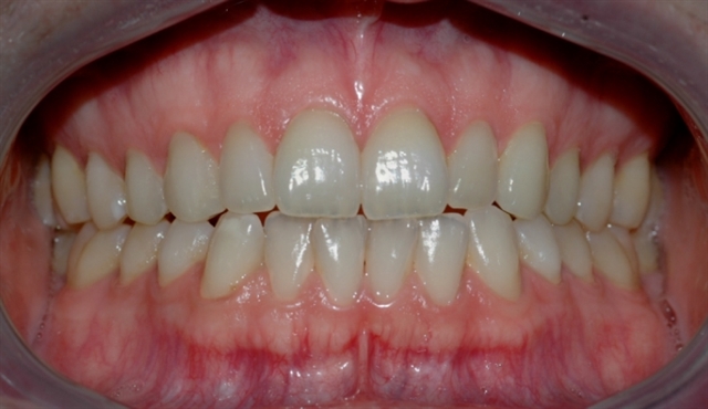
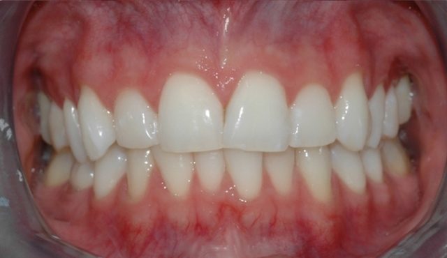
  • bleking_pasient_2_før
    bleking_pasient_2_før

    Bildet viser tenner før bleking. Tennene har ingen synlige fyllinger og kan derfor egne seg godt for bleking.

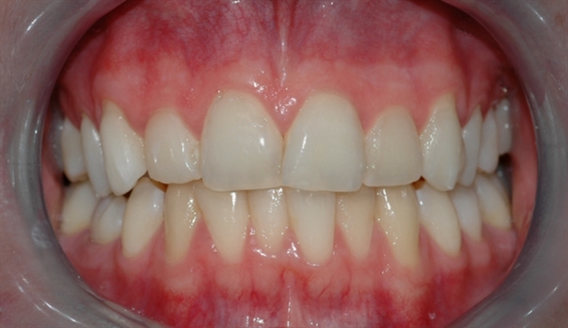
  • bleking_pasient_2_etter
    bleking_pasient_2_etter

    Bildet viser resultatet etter endt bleking. Det er her benyttet hjemmebleking med skinne brukt på dagtid.

loader