Hva er en krone?
En krone er en tannrestaurering som brukes dersom tannen er så skadet at den ikke kan repareres med en fylling (fig. I).
Framstilling av en krone
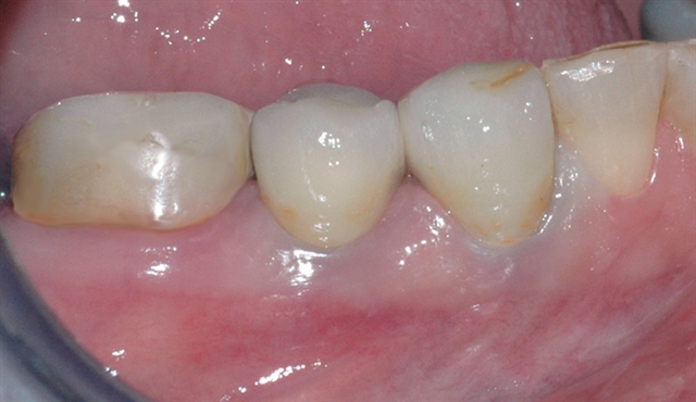
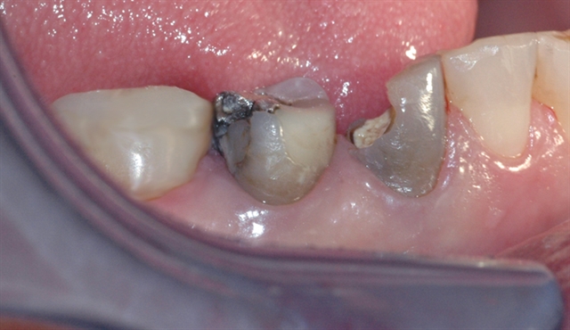
For å lage en krone må det som er igjen av tannen slipes og formes til (fig. II). Det tas et avtrykk før den slipte tannen dekkes med en midlertidig krone. Etter ca. 1 - 2 uker er den permanente kronen ferdig, og kan sementeres på plass (fig. III og IV). Kronens farge og fasong er tilpasset de andre tennene, og resultatet blir derfor pent.
 |
|  |
|  |
| |
| figur I |
| figur II |
| figur III |
| figur IV |
Hele prosessen er krevende og teknisk vanskelig, både for tannlegen og tannteknikeren. Derfor er prisen på en krone høyere enn for en fylling.
Hva er kronen laget av?
Det finnes flere ulike kronetyper med forskjellige egenskaper når det gjelder styrke og estetikk. De to vanligste typene er 1) helkeramiske kroner og 2) kroner med en innerkjerne av metall med porselen (keram) brent utenpå.
Helkeramiske kroner (rene porselenskroner) har god estetikk, og benyttes først og fremst der kravet til et pent resultat er spesielt høyt. Det finnes nå svært sterke keramer, slik at denne kronetypen også noen ganger kan brukes på tenner med større tyggetrykk.
Hvor lenge varer en krone?
Det er meningen at en krone skal vare i mange år. Likevel er det en del forhold som kan forkorte levetiden til en krone:
Brudd på porselen: En krone blir ved tygging utsatt for store krefter. Uheldige belastninger kan over tid føre til at biter av porselenet knekker av. Dette har normalt ingen praktisk betydning, og kan i noen tilfeller repareres med en fylling. Dersom kronens funksjon eller estetikk forringes vesentlig, kan det være nødvendig å lage en ny krone.
Karies i kronekanten: Det kan ikke bli hull i selve kronen. Derimot kan det bli hull i tannen nedenfor kronens avslutning. Slike hull kan noen ganger repareres med en fylling. Dersom hullet er stort, kan det bli aktuelt med ny behandling.
Tannsmerter/ rotfylling: En del tenner med dype hull og store fyllinger kan etterhvert få redusert blodomløp i nerven. De er derfor mer utsatt for betennelser og infeksjoner som kan medføre tannsmerter. Dette gjelder også tenner som er beslipt og påsatt krone. For å rotfylle en tann med krone, må man borre en åpning gjennom kronen og inn til nerven. Åpningen tettes igjen med fylling etter at tannen er ferdig rotfylt.
Dette bør man gjøre for å ta best mulig vare på kronen:

1. Bruke tannbørste nøye, men skånsomt i tannkjøttskanten slik at tannkjøttet ikke skades og trekker seg tilbake. En slitt tannbørste er lite effektiv. Bytt derfor børsten når busten spriker.
.

2. Gjøre rent mellom tennene minst en gang per dag. Dersom tennene står tett, vil tanntråd være et effektivt hjelpemiddel. Ved større mellomrom mellom tennene, vil tannstikker eller mellomromsbørster egne seg best. Mellomromsbørster kommer i ulike størrelser, og brukes på tilsvarende måte som tannstikker.

3. Skylle regelmessig med fluor for å unngå karies i kronekanten. Fluor styrker tennene, og er derfor viktig for å forebygge karies.