Tanngnissing er et vanlig problem. Man regner med at om lag 5 % av den voksne befolkning i perioder er plaget med denne tilstanden. De fleste gnisser tenner om natten mens de sover, og er derfor ikke klar over problemet selv. Andre kan gnisse tenner på dagtid, for eksempel når de konsentrerer seg.
Tegn på tanngnissing
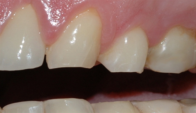
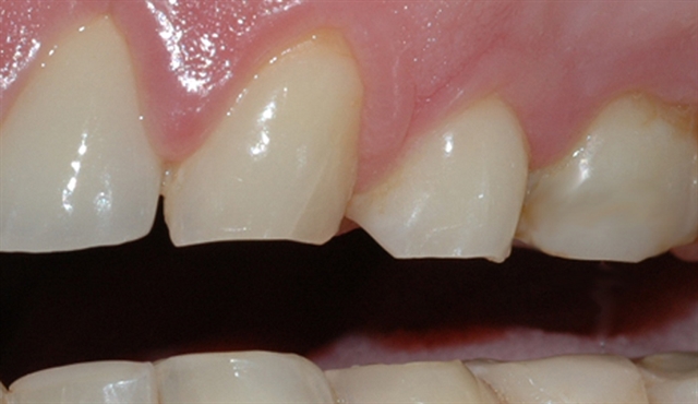
Om man over lengre tid har vært plaget med tanngnissing, vil man kunne se dette på tennene. Disse blir slitt, og får rette kanter. Man kan også slite seg gjennom det ytterste laget på tannen (emaljen), slik at tannbenet (dentinet) blir synlig. Dette kan føre til at tennene blir mer ømfintlige og følsomme i det daglige.
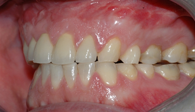
 | |  | |  | |  |
| figur I | | figur II | | figur III | | figur IV |
Tanngnissing eller -pressing kan også medføre slitasje på fyllinger, og bidra til utvikling av sprekkdannelser i tennene.
Videre kan det være vanlig blant de som gnisser tenner om natten å våkne med ømhet i kjevemuskulaturen. Dette kan lett forplante seg videre til nakke, skuldre og tinninger og på denne måten bidra til utvikling av spenningshodepine.
Til sist vil tanngnissing kunne virke forstyrrende på nattesøvnen for en selv så vel som for partneren. Dette skyldes at lyden av tanngnissing hos enkelte kan være svært høy.
Behandling av tanngnissing

Ofte vil tanngnissing forekomme i perioder med psykisk stress. Det kan for eksempel dreie seg om travle eksamensperioder eller en vanskelig jobb- eller familiesituasjon. Det kan derfor være fordel å utføre avslapningsøvelser før innsovning (autogen trening). Om kroppen og muskulaturen er avslappet i det man sovner, er det mindre fare for tanngnissing i løpet av natten.
Dersom dette ikke er tilstrekkelig og man frykter større skader på tennene, er det mulig å få fremstilt en bittskinne hos tannlegen. Denne er vanligvis laget i hard plast og fungerer som en tannbeskytter. Slik vil tanngnissingen gå ut over bittskinnen i stedet for tennene. Mange vil også oppleve at kjevemuskulaturen slapper mer av om man benytter bittskinne. Slik kan følgeplager som spenninger i nakke og skuldre, samt hodepine reduseres.
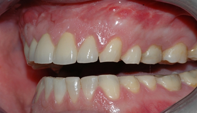
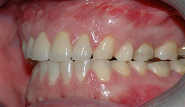
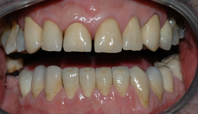
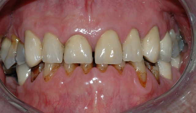
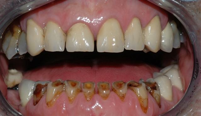
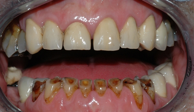
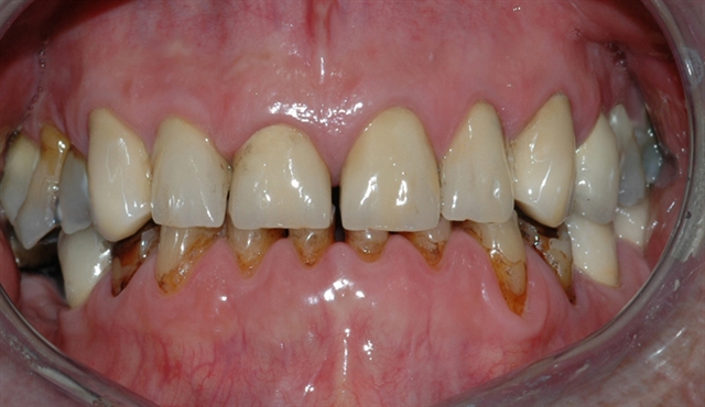
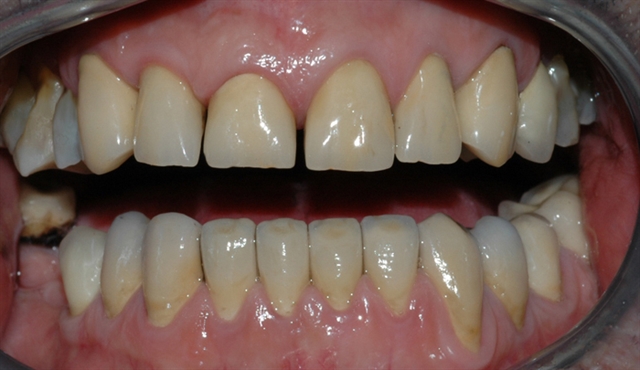
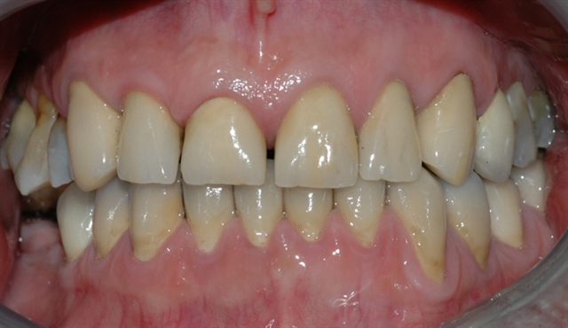
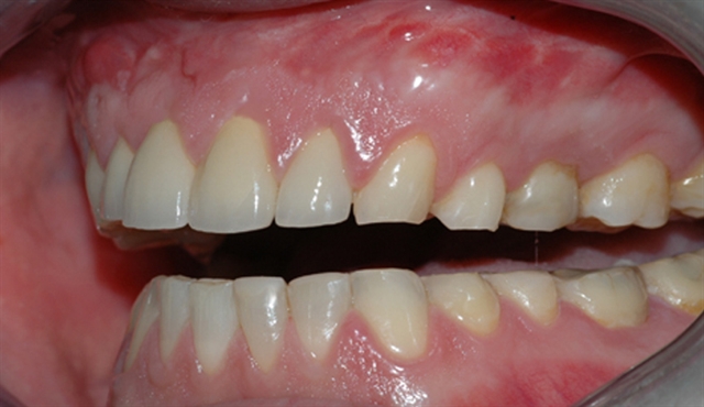
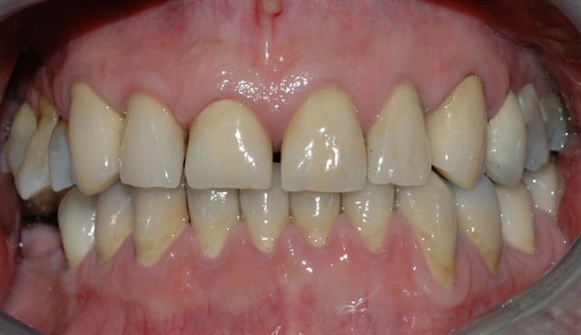
Ved langvarig og alvorlig tanngnissing, kan tennene etter hvert bli svært slitt. Dette kan gå ut over både tennenes funksjon og utseende. I slike tilfeller kan det være nødvendig å bygge opp igjen tennene enten ved hjelp av plastfyllinger eller med kroner i porselen (fig. V-VIII). Dette kan være kostbar og omfattende behandling, og kan i enkelte tilfeller utløse støtte fra HELFO. Det er tannlegen som vurderer om tilstanden er så alvorlig at den omfattes av dette regelverket.
 | |  | |  | |  |
| figur V | | figur VI | | figur VII | | figur VIII |
Tanngnissing hos barn
Det er ikke uvanlig at barn skjærer tenner om natten. Selv om det høres ille ut, er det oftest helt ufarlig. Det er ikke vanlig å behandle barn som er plaget med tanngnissing, og for de fleste vil tanngnissingen gi seg når melketennene etter hvert erstattes med permanente tenner.