tjenester2-top
loader

Fyll ut skjema og bestill time

Våre priser

Puss og poléring

TANANGER TANNLEGENE

Mye av det vi inntar i det daglige kan misfarge tennene. Dette gjelder for eksempel kaffe, te, røyk, snus og rødvin. Slike misfarginger legger seg som et mørkt belegg på tennenes overflate og kan være vanskelige å fjerne selv.



Tannlegen eller tannpleieren har mulighet til å fjerne overfladiske misfarginger ved å pusse og polere tennene. Det brukes da vanligvis en spesiell pussepasta med ekstra slipemiddel. Alternativt går det an å benytte saltblåsing for å fjerne misfargingene. Det er også normalt at man samtidig fjerner tannsten, ettersom misfarging også setter seg her.

Selv om tennene kan virke lysere etter puss og polering, er det ikke tennenes egentlige farge som er endret. Dersom man ønsker lysere tenner, må dette gjøres med tannbleking.

Ønsker du mindre misfarging på tennene?
Det mest åpenbare man kan gjøre for å få mindre misfarging på tennene, er å redusere inntaket av matvarer som misfarger, kaffe, te, røyk, snus osv. I tillegg vil grundig renhold redusere dannelsen av nye misfarginger. Her vil en elektrisk tannbørste være særlig effektiv.

Det finnes også spesialtannkremer som inneholder ekstra slipemiddel. Slike tannkremer bør man være forsiktig med å bruke, da overdrevet bruk kan gi slitasjeskader på tennene.
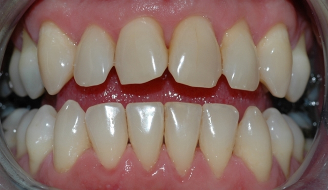
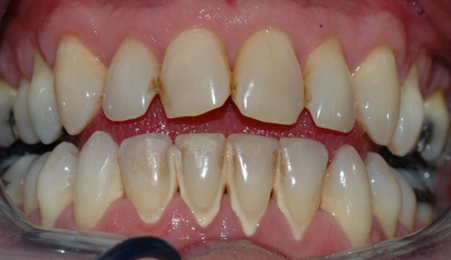
  • puss klinisk 2
    puss klinisk 2

    Her kan man se misfarging og tannsten på tennenes fremside.

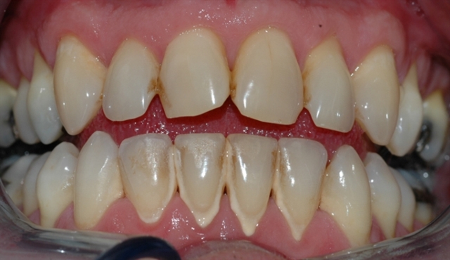
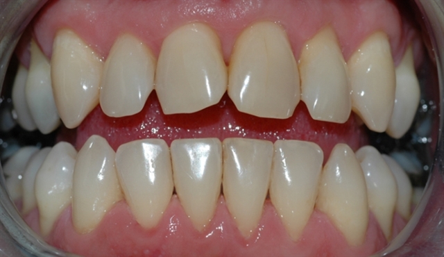
  • puss klinisk 1
    puss klinisk 1

    Etter puss og polering har tennene fått tilbake sin rene, glatte overflate.

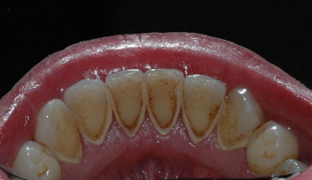
  • puss klinisk 3
    puss klinisk 3

    Her kan man se misfarging og tannsten på tennenes innside.

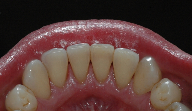
  • puss klinisk 4
    puss klinisk 4

    Etter puss og polering har tennene fått tilbake sin rene, glatte overflate.

loader